Ist mein Gehirn normal?
12.02.2011 um 14:00Moin
Irgendwie sieht mein Gehirn anders aus als die meißten Gehirne und ich wollte mal wissen was ihr dazu meint.
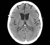
Erstmal ein paar Schädel CTs von Google...

Computertomographie (CT) des Großhirns eines gesunden älteren Menschen (a), eines Patienten mit Alzheimer-Demenz (b) und vaskulärer Demenz (c) (Abbildung aus: Alzheimer & andere Demenzen: Antworten auf die häufigsten Fragen, G. Krämer & H. Förstl, Trias Verlag, S. 145)
http://www.alzheimer-kompakt.de/alzheimer-erkennen-behandeln/diagnose.html (Archiv-Version vom 03.02.2011)

http://www.radiologie-am-prinzregentenplatz.de/index.php/untersuchungen/ct_untersuchungen/ct_von_kopf_und_gehirn/

http://www.klinikum-karlsruhe.com/institute/zentralinstitut-fuer-bildgebende-diagnostik/leistungsschwerpunkte/untersuchungsmoeglichkeiten/computertomographie/print.html

http://www.radiologie-idar-oberstein.com/html/computertomographie1.html (Archiv-Version vom 24.02.2011)

http://www.schule-bw.de/unterricht/faecher/nwt/unterrichtseinheiten/einheiten/medizin/19roentgen_computertomographie_ab.htm (Archiv-Version vom 01.02.2010)

http://www.radiologie-boeblingen.de/html/ct_des_kopfes.html

http://www.diagnosticum.at/fp/index2.php?artikel=17&searchquery=ct&PHPSESSID=
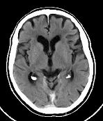
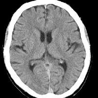
Und hier meine CT Aufnahmen...



Vielleicht sind hier ja ein paar Spezialisten die mir mehr sagen können.
Ich finde ich hab auch so wenig furchen, zB wie hier beschrieben...
Und was mir auch auffällt das ich an den Seiten diese furchen nicht habe....
Wär schön wenn mir jemand mehr sagen könnte.
Hier nochmal einige Bilder im Album:
http://img689.imageshack.us/g/bild18t.jpg/
Irgendwie sieht mein Gehirn anders aus als die meißten Gehirne und ich wollte mal wissen was ihr dazu meint.
Erstmal ein paar Schädel CTs von Google...

Computertomographie (CT) des Großhirns eines gesunden älteren Menschen (a), eines Patienten mit Alzheimer-Demenz (b) und vaskulärer Demenz (c) (Abbildung aus: Alzheimer & andere Demenzen: Antworten auf die häufigsten Fragen, G. Krämer & H. Förstl, Trias Verlag, S. 145)
http://www.alzheimer-kompakt.de/alzheimer-erkennen-behandeln/diagnose.html (Archiv-Version vom 03.02.2011)



http://www.radiologie-idar-oberstein.com/html/computertomographie1.html (Archiv-Version vom 24.02.2011)

http://www.schule-bw.de/unterricht/faecher/nwt/unterrichtseinheiten/einheiten/medizin/19roentgen_computertomographie_ab.htm (Archiv-Version vom 01.02.2010)

Und hier meine CT Aufnahmen...



Vielleicht sind hier ja ein paar Spezialisten die mir mehr sagen können.
Ich finde ich hab auch so wenig furchen, zB wie hier beschrieben...
Außerdem fanden sich in seinen Scheitellappen weniger Furchen als in Vergleichshirnen.http://www.wissenschaft-online.de/artikel/992155
Und was mir auch auffällt das ich an den Seiten diese furchen nicht habe....
Ein Team um Sandra Witelson von der kanadischen McMasters-Universität in Hamilton zeigte, dass bei Einstein eine seitliche Region der Großhirnrinde stark entwickelt war. Dort ist das mathematische Denken, aber auch die Vorstellung von Bewegungen lokalisiert. Bei Einstein fehlte zudem eine sonst übliche Furche in der Gehirnregion, was auf mehr Nervenverbindungen hindeuten könnte.http://www.focus.de/wissen/diverses/einstein_aid_90435.html
Wär schön wenn mir jemand mehr sagen könnte.
Hier nochmal einige Bilder im Album:


