Allmystery
Diskussionsleiter
Profil anzeigen
Private Nachricht
Link kopieren
Lesezeichen setzen
dabei seit 2005
Profil anzeigen
Private Nachricht
Link kopieren
Lesezeichen setzen
Ein Leben ohne Gehirn
20.05.2006 um 21:39Aristoteles lehrte, dass das Gehirn lediglich zum kühlen des Blutes diene und nichts mit dem Bewusstsein oder dem Vorgang des Denkens zu tun habe. Das Aristoteles mit seiner Aussage wohl etwas daneben lag, scheint heute wissenschaftlich unbestreitbar. Doch bekanntlich bestätigen Ausnahmen die Regel.
Mathematikstudent ohne Gehirn
Dr. Lorber kann es nicht fassen. Bei der Untersuchung einer seiner Patienten stellt er überrascht fest, dass dieser kaum ein Gehirn besitzt. Hinzu kommt, dass es sich bei dem Mann um einen intelligenten Mathematikstudenten handelt. Die Wissenschaft steht vor einem Rätsel und dies ist kein Einzellfall.
Das menschliche Gehirn ist die mit weitem Abstand komplexeste Struktur im bekannten Universum. Schon kleinste Verletzungen dieses komplizierten Organs können fatale Folgen haben. Doch ist das immer so?
Bei einer geringfügigen Behandlung, stellte der Arzt der Sheffield Universität beiläufig fest, dass der Mathematikstudent einen etwas größeren Kopf, als für gewöhnlich besaß und wies ihn daher Dr. Lorber für weitere Untersuchungen zu. Der besagte Student war intelligent, besaß einen IQ von 126 und war im Begriff seinen Hochschulabschluss zu machen. Bei einer Röntgenuntersuchung entdeckte Dr. Lorber dann überrascht, dass sein Patient praktisch überhaupt kein Gehirn besaß.

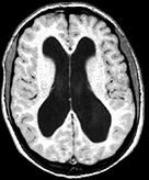
Klar erkennbar sind die mit Flüssigkeit gefüllten Ventrikel (schwarze Fläche).
Normalerweise weißt die Gehirnrinde eine Dicke von etwa 4 Zentimetern auf, bei ihm war sie jedoch auf die Dicke eines Papierblattes zusammengeschrumpft. Lorber schätzte, dass das gesamte Gehirn des Mannes nur etwa 100 Gramm wog. Ein normales Gehirn eines Erwachsenen wiegt zum Vergleich etwa 1,3 Kilogramm, also 13 mal soviel. Der Student litt unter einem Wasserkopf, einer Krankheit, bei der die Gehirn-Rückenmark-Flüssigkeit anstatt um das Gehirn zu zirkulieren und anschließend in den Blutstrom überzugehen, im Inneren aufgestaut wird.
In der Regel bedeutet dieser Zustand schon in den ersten Monaten der Kindheit ein tödliches Ende. Selbst wenn jemand überleben sollte, ist er für gewöhnlich schwer behindert. Irgendwie hat es der Sheffield Student jedoch vollbracht ein komplett normales Leben zu führen und war zu all dem im Begriff einen hochgradigen Abschluss in Mathematik abzulegen. Er führt sein Leben wie gehabt fort, außer mit dem Wissen, dass er kein Gehirn besitzt. Dieser Fall ist in keineswegs einzigartig.
Kein Gehirn, kein Einzellfall
Im Jahre 1970 starb ein New Yorker im Alter von 35 Jahren. Er verließ die Schule ohne Abschluss, arbeitete jedoch in handwerklichen Berufen, zum Beispiel als Bauarbeiter oder Dachdecker. In seiner Nachbarschaft war er beliebt und bekannt. Die Mieter des Hauses, in dem er arbeitete, beschrieben ihn als gewöhnlichen Menschen, der die Boulevardzeitungen las und seinen Routinearbeiten, wie dem Warten des Heizungskessels, nachging. Als nach seinem frühen Tod eine Autopsie durchgeführt wurde, stellte man ebenfalls fest, dass er so gut wie kein Gehirn besaß.
Einen weiteren Fall schildert Lorber in dem Magazin Developmental Medicine and Child Neurology. Er handelt von zwei Kindern, die ohne Großhirnrinde (dem Sitz des menschlichen Bewusstseins) auf die Welt kamen. Entgegen aller Vermutungen, entwickelten sie sich jedoch bis zu ihrem frühen Tode völlig normal. Anscheinend wurden sie von der normalerweise verheerenden Fehlbildung nicht beeinflusst.
Zu einem der berühmtesten Fälle zählt der, des am 12. Juli 1984 geborenen Jungen Andrew Vandal. Im Fötalstadium hatte sich am oberen Ende seiner Wirbelsäule eine Zyste gebildet, die die Ausbildung des Gehirns verhinderte. In der Schädelkapsel befindet sich nur Hirnwasser. Auch er überlebte zum Erstaunen aller und feierte 1989 seinen fünften Geburtstag. Er konnte sich zwar lediglich auf dem Rücken bewegen, war jedoch in der Lage zu lachen und zeigt eine mentale Entwicklung.

So durchbohrte die Stange den Schädel von Phineas P. Gage.
Im Jahre 1848 ereignete sich ein Unfall, bei dem eine Stange den Kopf des Stahlarbeiters Phineas P. Gage durchbohrte, nachdem sie durch eine Explosion zu einem Geschoss wurde. Nicht nur überlebte er den Unfall, auch blieb er während des gesamten Vorfalls bei vollem Bewusstsein. Er trug anscheinend keinen Schaden spezifischer Gehirnfunktionen davon. Er konnte sprechen, hören, sehen, etc., wie eh und je. Innerhalb der darauf folgenden Jahre vollzog sich jedoch eine merkliche Veränderung seiner Person. War er zuvor ein ausgeglichener und höflicher Mann, wurde er nun als launenhaft, eigensinnig und verantwortungslos beschrieben und konnte zudem keine Entscheidungen mehr über zukünftige Dinge treffen. Seine Freunde meinten: „Gage ist nicht mehr Gage".
Professor Lorber identifizierte noch hunderte weiterer Menschen, die sehr kleine Gehirnrinden besaßen, jedoch auf dem geistigen und intellektuellen Stand eines gewöhnliches Menschen waren. Einige von ihnen besaßen nach Lorbeer "kein nachweisbares Gehirn", erreichten bei IQ Tests jedoch bis zu 120 Punkte.
Rätselhaftes Mysterium
Niemand weiß, wie Personen mit "nicht nachweisbarem Gehirn" überhaupt in der Lage sind zu funktionieren, geschweige denn in Mathematik zu graduieren, aber es gibt einige Theorien. Eine geht davon aus, dass ein normales Gehirn von Natur aus ein hohes Maß an überschüssigen Funktionen besitzt und das wenig verbleibende Gehirn daher fähig wäre, die Aufgaben der fehlenden Gehirnhälften zu übernehmen. Es gibt sogar Fälle, bei denen Menschen problemlos mit nur einer Gehirnhälfte leben, da diese die Aufgaben der fehlenden Hälfte übernommen hat.
Ein ähnlicher Erklärungsversuch bezieht sich auf die Vermutung, dass wir nur einen kleinen Anteil unseres Gehirnes benutzen, vielleicht nur 10 Prozent. Das Problem bei diesen Ideen ist jedoch, dass neue Forschungen diesen zu wiedersprechen scheinen.
Ein weiterer interessanter Ansichtspunkt ist, dass uns Lorbers Forschungsarbeit auf das Mysterium des Gedächtnisses selbst aufmerksam macht. Zu Beginn nahm man an, dass Erinnerungen irgendeine physische Konsistenz im Gehirn besitzen müssten, etwa wie die Speicherchips eines Computers. Umfassende Untersuchungen haben jedoch ergeben, dass das Gedächtnis weder in einem bestimmten Bereich des Gehirns sitzt, noch auf einem speziellen "Trägermaterial" gespeichert ist. Oder wie ein bedeutender Neurologe es ausdrückte: "Das Gedächtnis ist überall und nirgendwo im Gehirn." Wenn unser Gehirn jedoch kein Apparat zum Bewerten, Abspeichern und Verarbeiten von Erfahrungen ist, um uns das Leben zu ermöglichen, wozu ist das Gehirn überhaupt da? Und wo ist der Sitzt der menschlichen Intelligenz? Wo ist der Verstand?

Für Sheldrake ist das Bewusstsein ein Feld, dass morphogenetisch mit allem verbunden ist.
Dr Rupert Sheldrake ist einer von wenigen Biologen, die einen radikal neuen Lösungsansatz dafür vorschlagen. In seinem Buch A New Science of Life (deutsch: "Das schöpferische Universum. Die Theorie des morphogenetischen Feldes") lehnt er die Idee ab, dass das Gehirn ein "Warenhaus" für Erinnerungen sei und vermutet stattdessen, dass es mehr so etwas, wie ein "Radioempfänger" zur Abstimmung auf die Vergangenheit sei.
Das Gedächtnis sei nach Sheldrake kein Aufnahmevorgang, bei dem ein Medium verändert wird, um Informationen zu speichern, sondern eine Reise in die Vergangenheit, die der Verstand mittels morphogenetischer Resonanz unternimmt. Ein solcher "Radioempfänger" würde bei weitem weniger und geringer komplexe Strukturen erfordern, als ein Speicher, der in der Lage sein muss lebenslänglich Daten abzuspeichern und abzurufen.
Aber natürlich könnte solch eine verrückte Idee niemals wahr sein, oder?
Mathematikstudent ohne Gehirn
Dr. Lorber kann es nicht fassen. Bei der Untersuchung einer seiner Patienten stellt er überrascht fest, dass dieser kaum ein Gehirn besitzt. Hinzu kommt, dass es sich bei dem Mann um einen intelligenten Mathematikstudenten handelt. Die Wissenschaft steht vor einem Rätsel und dies ist kein Einzellfall.
Das menschliche Gehirn ist die mit weitem Abstand komplexeste Struktur im bekannten Universum. Schon kleinste Verletzungen dieses komplizierten Organs können fatale Folgen haben. Doch ist das immer so?
Bei einer geringfügigen Behandlung, stellte der Arzt der Sheffield Universität beiläufig fest, dass der Mathematikstudent einen etwas größeren Kopf, als für gewöhnlich besaß und wies ihn daher Dr. Lorber für weitere Untersuchungen zu. Der besagte Student war intelligent, besaß einen IQ von 126 und war im Begriff seinen Hochschulabschluss zu machen. Bei einer Röntgenuntersuchung entdeckte Dr. Lorber dann überrascht, dass sein Patient praktisch überhaupt kein Gehirn besaß.

Klar erkennbar sind die mit Flüssigkeit gefüllten Ventrikel (schwarze Fläche).
Normalerweise weißt die Gehirnrinde eine Dicke von etwa 4 Zentimetern auf, bei ihm war sie jedoch auf die Dicke eines Papierblattes zusammengeschrumpft. Lorber schätzte, dass das gesamte Gehirn des Mannes nur etwa 100 Gramm wog. Ein normales Gehirn eines Erwachsenen wiegt zum Vergleich etwa 1,3 Kilogramm, also 13 mal soviel. Der Student litt unter einem Wasserkopf, einer Krankheit, bei der die Gehirn-Rückenmark-Flüssigkeit anstatt um das Gehirn zu zirkulieren und anschließend in den Blutstrom überzugehen, im Inneren aufgestaut wird.
In der Regel bedeutet dieser Zustand schon in den ersten Monaten der Kindheit ein tödliches Ende. Selbst wenn jemand überleben sollte, ist er für gewöhnlich schwer behindert. Irgendwie hat es der Sheffield Student jedoch vollbracht ein komplett normales Leben zu führen und war zu all dem im Begriff einen hochgradigen Abschluss in Mathematik abzulegen. Er führt sein Leben wie gehabt fort, außer mit dem Wissen, dass er kein Gehirn besitzt. Dieser Fall ist in keineswegs einzigartig.
Kein Gehirn, kein Einzellfall
Im Jahre 1970 starb ein New Yorker im Alter von 35 Jahren. Er verließ die Schule ohne Abschluss, arbeitete jedoch in handwerklichen Berufen, zum Beispiel als Bauarbeiter oder Dachdecker. In seiner Nachbarschaft war er beliebt und bekannt. Die Mieter des Hauses, in dem er arbeitete, beschrieben ihn als gewöhnlichen Menschen, der die Boulevardzeitungen las und seinen Routinearbeiten, wie dem Warten des Heizungskessels, nachging. Als nach seinem frühen Tod eine Autopsie durchgeführt wurde, stellte man ebenfalls fest, dass er so gut wie kein Gehirn besaß.
Einen weiteren Fall schildert Lorber in dem Magazin Developmental Medicine and Child Neurology. Er handelt von zwei Kindern, die ohne Großhirnrinde (dem Sitz des menschlichen Bewusstseins) auf die Welt kamen. Entgegen aller Vermutungen, entwickelten sie sich jedoch bis zu ihrem frühen Tode völlig normal. Anscheinend wurden sie von der normalerweise verheerenden Fehlbildung nicht beeinflusst.
Zu einem der berühmtesten Fälle zählt der, des am 12. Juli 1984 geborenen Jungen Andrew Vandal. Im Fötalstadium hatte sich am oberen Ende seiner Wirbelsäule eine Zyste gebildet, die die Ausbildung des Gehirns verhinderte. In der Schädelkapsel befindet sich nur Hirnwasser. Auch er überlebte zum Erstaunen aller und feierte 1989 seinen fünften Geburtstag. Er konnte sich zwar lediglich auf dem Rücken bewegen, war jedoch in der Lage zu lachen und zeigt eine mentale Entwicklung.

So durchbohrte die Stange den Schädel von Phineas P. Gage.
Im Jahre 1848 ereignete sich ein Unfall, bei dem eine Stange den Kopf des Stahlarbeiters Phineas P. Gage durchbohrte, nachdem sie durch eine Explosion zu einem Geschoss wurde. Nicht nur überlebte er den Unfall, auch blieb er während des gesamten Vorfalls bei vollem Bewusstsein. Er trug anscheinend keinen Schaden spezifischer Gehirnfunktionen davon. Er konnte sprechen, hören, sehen, etc., wie eh und je. Innerhalb der darauf folgenden Jahre vollzog sich jedoch eine merkliche Veränderung seiner Person. War er zuvor ein ausgeglichener und höflicher Mann, wurde er nun als launenhaft, eigensinnig und verantwortungslos beschrieben und konnte zudem keine Entscheidungen mehr über zukünftige Dinge treffen. Seine Freunde meinten: „Gage ist nicht mehr Gage".
Professor Lorber identifizierte noch hunderte weiterer Menschen, die sehr kleine Gehirnrinden besaßen, jedoch auf dem geistigen und intellektuellen Stand eines gewöhnliches Menschen waren. Einige von ihnen besaßen nach Lorbeer "kein nachweisbares Gehirn", erreichten bei IQ Tests jedoch bis zu 120 Punkte.
Rätselhaftes Mysterium
Niemand weiß, wie Personen mit "nicht nachweisbarem Gehirn" überhaupt in der Lage sind zu funktionieren, geschweige denn in Mathematik zu graduieren, aber es gibt einige Theorien. Eine geht davon aus, dass ein normales Gehirn von Natur aus ein hohes Maß an überschüssigen Funktionen besitzt und das wenig verbleibende Gehirn daher fähig wäre, die Aufgaben der fehlenden Gehirnhälften zu übernehmen. Es gibt sogar Fälle, bei denen Menschen problemlos mit nur einer Gehirnhälfte leben, da diese die Aufgaben der fehlenden Hälfte übernommen hat.
Ein ähnlicher Erklärungsversuch bezieht sich auf die Vermutung, dass wir nur einen kleinen Anteil unseres Gehirnes benutzen, vielleicht nur 10 Prozent. Das Problem bei diesen Ideen ist jedoch, dass neue Forschungen diesen zu wiedersprechen scheinen.
Ein weiterer interessanter Ansichtspunkt ist, dass uns Lorbers Forschungsarbeit auf das Mysterium des Gedächtnisses selbst aufmerksam macht. Zu Beginn nahm man an, dass Erinnerungen irgendeine physische Konsistenz im Gehirn besitzen müssten, etwa wie die Speicherchips eines Computers. Umfassende Untersuchungen haben jedoch ergeben, dass das Gedächtnis weder in einem bestimmten Bereich des Gehirns sitzt, noch auf einem speziellen "Trägermaterial" gespeichert ist. Oder wie ein bedeutender Neurologe es ausdrückte: "Das Gedächtnis ist überall und nirgendwo im Gehirn." Wenn unser Gehirn jedoch kein Apparat zum Bewerten, Abspeichern und Verarbeiten von Erfahrungen ist, um uns das Leben zu ermöglichen, wozu ist das Gehirn überhaupt da? Und wo ist der Sitzt der menschlichen Intelligenz? Wo ist der Verstand?

Für Sheldrake ist das Bewusstsein ein Feld, dass morphogenetisch mit allem verbunden ist.
Dr Rupert Sheldrake ist einer von wenigen Biologen, die einen radikal neuen Lösungsansatz dafür vorschlagen. In seinem Buch A New Science of Life (deutsch: "Das schöpferische Universum. Die Theorie des morphogenetischen Feldes") lehnt er die Idee ab, dass das Gehirn ein "Warenhaus" für Erinnerungen sei und vermutet stattdessen, dass es mehr so etwas, wie ein "Radioempfänger" zur Abstimmung auf die Vergangenheit sei.
Das Gedächtnis sei nach Sheldrake kein Aufnahmevorgang, bei dem ein Medium verändert wird, um Informationen zu speichern, sondern eine Reise in die Vergangenheit, die der Verstand mittels morphogenetischer Resonanz unternimmt. Ein solcher "Radioempfänger" würde bei weitem weniger und geringer komplexe Strukturen erfordern, als ein Speicher, der in der Lage sein muss lebenslänglich Daten abzuspeichern und abzurufen.
Aber natürlich könnte solch eine verrückte Idee niemals wahr sein, oder?



